
20 Mart 2024
COVID-19’un bazı bilişsel semptomlarından sızdıran kan-beyin bariyeri ve inflamasyon sorumlu olabilir.
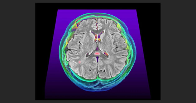
Koku kaybı, baş ağrıları, hafıza sorunları: COVID-19, günlük işleri zorlaştıran rahatsız edici bir nörolojik semptom fırtınasına neden olabilir. Yeni araştırmalar bu semptomların altında beyindeki inflamasyonun yatabileceğine dair kanıtlar sunuyor.
Tüm veriler aynı yönü göstermiyor. Bazı yeni çalışmalar, COVID-19’a neden olan SARS-CoV-2 virusunun doğrudan beyin hücrelerini infekte ettiğini öne sürüyor. Bu bulgular, COVID-19 ile ilişkili beyin sorunlarına doğrudan infeksiyonun yol açtığı hipotezini destekliyor. Beyindeki inflamasyonun anahtar olduğu fikri ise yeni bir destek kazandı: bir çalışma COVID-19’lu kişilerde belirli beyin bölgelerinin inflamasyona yatkın olduğunu saptadı.
University College Dublin’den nörovirolog Nicola Fletcher, “Literatürün tamamı şimdi biraz daha bir araya gelmeye ve bize daha somut cevaplar vermeye başladı” diyor.
İmmünolojik Fırtına
Araştırmacılar, COVID-19’un neden olduğu beyin sorunlarının suçlusunu aramaya başladığında, inflamasyon hızla başlıca şüphelilerden biri oldu. Bunun nedeni, vücudun davetsiz misafirlere karşı salgıladığı bağışıklık hücreleri ve kimyasallara bağlı inflamasyonun, HIV gibi başka virusların neden olduğu bilişsel semptomlarla bağlantılı olmasıdır. SARS-CoV-2 vücutta güçlü bir bağışıklık tepkisine yol açar, ancak beyin hücrelerinin bu tepkiye katkıda bulunup bulunmadığı ve eğer öyleyse nasıl olduğu belirsizdi.
Charité – Berlin Üniversitesi Tıp Fakültesi’nden nöropatolog Helena Radbruch ve meslektaşları, COVID-19’dan ölen insanlardan alınan beyin örneklerini inceledi. SARS-CoV-2 ile infekte olmuş herhangi bir hücre bulamadılar. Ancak bu insanların belirli beyin bölgelerinde, diğer nedenlerden ölen insanlara göre daha fazla bağışıklık aktivitesi olduğunu saptadılar. Bu olağandışı aktivite, koku alma duyusuyla ilgili olan koku alma soğanı ve nefes alma gibi bazı bedensel işlevleri kontrol eden beyin sapı gibi bölgelerde fark edildi. Bu durum yalnızca virusa yakalandıktan kısa süre sonra ölen insanların beyinlerinde görüldü.
Radbruch’a göre bu gözlemler, COVID-19’un beyin dışında neden olduğu iltihaplanmanın infeksiyonun erken dönemlerinde belirli beyin bölgelerinde bağışıklık tepkisini tetiklediğini ve bunun da nörolojik semptomlara yol açabileceğini akla getiriyor. Ekip, nöroinflamasyonun devam etmesi durumunda, infeksiyondan sonra aylarca veya yıllarca sürebilen karmaşık semptomlar topluluğu olan uzun COVID ile bağlantılı beyin semptomlarına yol açabileceğinden şüpheleniyor. Bulgular Nature Neuroscience dergisinde yayımlandı.