Haber
COVID’in Beyne Etkisi: Ortaya Yeni İpuçları Çıktı
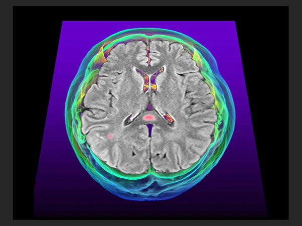
COVID-19’un bazı bilişsel semptomlarından sızdıran kan-beyin bariyeri ve inflamasyon sorumlu olabilir. Koku kaybı, ...











